
5-year-old Syrian girl gets lifesaving treatment in Haifa
Doctors bring bone-marrow donor across the border in a clandestine mission to treat a child for cancer.

Doctors bring bone-marrow donor across the border in a clandestine mission to treat a child for cancer.

Pluristem’s innovative treatment — PLX-R18 – could save lives of severely ill patients with hematopoietic disorders.

New study shows connection between sleep quality and success of bone-marrow transplants.

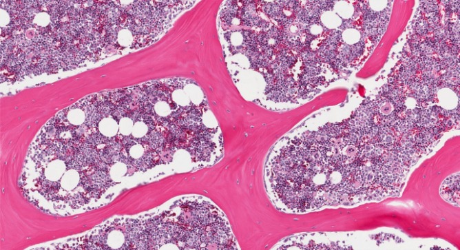
PLX-RAD cells address multiple indications associated with bone marrow deficiency

The drug makes the donor tissue less likely to destroy the patient’s organs, while allowing the regular immune activity against the cancer.

Could enhanced adult stem cells halt the progression of a neurological disease for which there is no treatment or cure?
Pluristem is focusing on the expansion of hematopoietic stem cells (HSC) from umbilical cord blood, which can be used for bone marrow transplants.